500 West Whitestone Blvd, Suite 102, Cedar Park, TX 78613
(Across from Bush's Chicken)
(512) 528-5454
Request Appointment
Our Office
500 West Whitestone Blvd
Suite 102
Cedar Park
,
TX
78613
(512) 528-5454
Visit Us Online
About Us
Our Office
New Patients
Smile Gallery
Testimonials
Dental Videos
Patient Forms
Our Doctor
Services
Dental Cleanings
Emergency Treatment
Extractions
Night Guards
Oral Cancer Screening
Oral Exams
Pediatric Dentistry
Periodontal Treatment
Preventative Program
Root Canals
Sedation Dentistry
TMJ Disorders
Dental Bridges
Dental Fillings
Dentures
Ceramic Crowns
ClearCorrect®
Invisalign®
Teeth Whitening
Veneers
Digital Radiography
VELscope®
ViziLite®
Dental Health
Contact Us
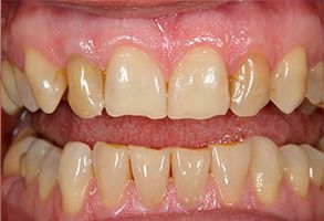
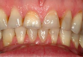
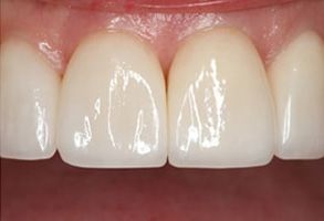
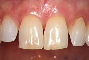
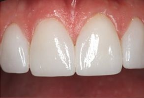
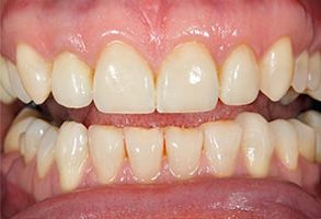
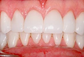
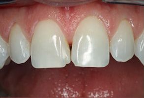
Dentistry Before and After Photos in Cedar Park
Before
After
Before
After
Before
After
Before
After
Before
After
Before
After
Before
After
Our Office
500 West Whitestone Blvd
Suite 102
Cedar Park
,
TX
78613
(512) 528-5454
Visit Us Online
Questions?
Phone
(512) 528-5454
Social
Navigation
Home
New Patients
Our Office
Our Services
Testimonials
Our Doctor
Request Appointment
Dental Videos
Our Office
500 West Whitestone Blvd
Suite 102
Cedar Park
,
TX
78613
(512) 528-5454
Visit Us Online
© 2026 Mywisdom Dental. All Rights Reserved. |
Accessibility Policy
Dental Marketing
Cedar Park Dentist | Dentist in Cedar Park | Cosmetic Dentist Cedar Park